包膜半胱胺产品(大丰收Plus)试验结果分享(三)
-
发布时间:2020-04-18 -
来源:康德权 -
浏览量:6491
今天继续给大家分享我们的包膜半胱胺产品(大丰收Plus)的其中一个试验结果,2019年发表在BMC Veterinary Research《Influence of supplemented coated-cysteamine on morphology, apoptosis and oxidative stress status of gastrointestinal tract》添加包膜半胱胺对胃肠道形态、细胞凋亡和氧化应激状态的影响
研究背景
作为饲料添加剂,半胱胺在改善育肥猪生长性能和胴体品质方面显示出稳定的作用,它减少蛋白质分解、调节机体激素分泌、减少背部脂肪等。但是研究发现,直接口服半胱胺可导致实验动物胃泌素和胃酸的增加,引起胃肠道溃疡。为了克服普通半胱胺添加后引起的采食量下降、胃溃疡、效果不稳定等缺点,包膜半胱胺为此产生,那包膜半胱胺对胃肠道黏膜状态又会产生什么影响呢?该试验评估了日粮中添加包膜半胱胺产品(大丰收Plus)对胃肠道形态、细胞凋亡和氧化应激状态的影响。
试验设计
试验结果
1、与对照组相比,添加包膜半胱胺的两个试验组回肠绒毛高度、绒毛高度/隐窝深度比值增加,隐窝深度降低。
2、LCS组回肠黏膜总超氧化物歧化酶(T-SOD)和二胺氧化酶(DAO)的活性上调。
3、LCS组回肠黏膜促凋亡蛋白Bax和caspase 3免疫反应性降低,抗凋亡蛋白Bcl-2免疫反应性升高。HCS组胃黏膜中Bax和caspase 3免疫反应性增加,而Bcl-2免疫反应性降低;回肠黏膜Bax和caspase 3免疫反应性降低,Bcl-2免疫反应性升高。
回肠凋亡标记物的表达
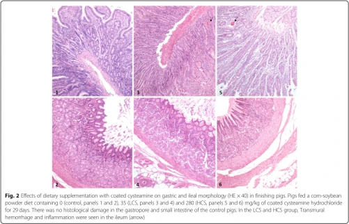
胃和回肠HE染色
胃和回肠黏膜免疫组化染色
结论
添加大丰收Plus对猪胃肠道黏膜形态、细胞凋亡和氧化应激状态显示出积极的影响,但是好东西也要适度哦,超高剂量添加可能会导致轻微损伤。
原文链接:https://doi.org/10.1186/s12917-019-2076-5


